Case-based Diagnosis Training

ECR 2024 Case-Based Diagnosis Training session - Interlude

ECR 2024 will see the return of the popular session for general radiologists and residents at the end of their training looking for a simple update on subjects outside of their usual field.

Be a part of the interlude


Once again, you have the opportunity to participate in the Case-Based Diagnosis Training session by submitting your most intriguing cases to be featured in the interlude, which sports a unique theme for each ECR. The theme of this year’s interlude is “The road less travelled: tracing clinical clues to a diagnosis”. Submit your cases that best signify your detective journey tracing clues along the road to unravel a diagnosis. To find out more about this year’s theme and how to submit your cases, please refer to the information provided below.

Test your knowledge

Additionally, the session will offer an interactive way to test your knowledge in a range of subspecialty areas. Before and after the Interlude, you can try to solve clinical cases from ten different fields in radiology, where specialists then help to highlight typical characteristics and differential diagnostic entities.

Come and join us, and maybe you will win the award for your excellent work-up!

If you have any questions, please contact cbdt@myESR.org.

The road less travelled:
tracing clinical clues to a diagnosis

Medicine, in general, and radiology, in particular, keep growing and make it impossible for one person to have deep knowledge of all aspects. Subspecialisation enables us to have a better understanding of developments in disease concepts and treatment options and depict relevant imaging details in order to deliver meaningful reports. By simply describing shades of grey and recommending additional imaging modalities to be on the safe side in terms of forensic issues, we just increase exploding healthcare costs instead of adding value to patient care.

It has been shown how clinical information can increase the accuracy, timeliness, reporting confidence and clinical relevance of the radiology report.

Our referring clinicians are equally subspecialised and tend to look for diseases explaining a patient’s symptoms that they themselves are familiar with. Especially if a patient’s complaints or findings do not fit into a certain “box”, we have a particular responsibility to sieve through all available information and ask for further details regarding previous diseases, therapies, co-existing pathology, and external reports to draw the right conclusions.

We should not retreat to the role of photographers delivering a commodity, which clinicians might interpret themselves much better with or without AI support, but should make a special effort to take responsibility and make decisions, whether certain imaging features are an incidental finding, a normal variant, an old posttraumatic, postischemic, postinflammatory or posttherapeutic condition or whether it is actually relevant to the current clinical symptoms of the patient or even better, whether we can put several symptoms of a patient together to a bigger picture.

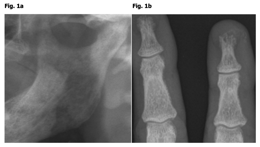
Figure 1: 57 y/o woman with left mandibular pain
a) Panoramic radiograph with sintered condyle.
b) Subperiosteal resorption of radial aspect of second and third middle phalanx, acroosteolysis.
Diagnosis: Hyperparathyroidism

If a temporomandibular condyle painfully collapses over months, we could simply keep it descriptive or call it “unspecific” necrosis (Fig. 1). If we go through old images, find kidney stones and a conventional X-ray of the hand, where subtle subperiosteal bone resorption of the radial aspect of the second and third middle phalanx have not been reported, we might be the first to hint to hyperparathyroidism.

Figure 2: 42 y/o woman, currently without symptoms
a) a) Transverse T2.
b) b) Coronal T2 SPAIR show hypointense intralienal streaks.
Diagnosis: old contained intralienal rupture after severe, prolonged coughing

If we talk to a patient without current symptoms with T2 hypointense intralienal streaks and learn that there was no previous surgery or trauma but that she had suffered from a long period of severe cough years ago with a hitherto unexplained attack of severe left upper quadrant pain, we can decode her findings as contained intralienal rupture during coughing and avoid further follow-up (Fig. 2).

By using clinical clues, our detective work as radiologists can be greatly enhanced. It is certainly more fun to positively contribute to a patient’s journey than to fill a report’s summary with diplomatic ways of expressing that we don’t have a clue. By teaching the next generation of radiologists, how we can make a difference by not only mastering our modalities and learning subsets of imaging constellations as markers for certain diseases by heart, but also how personal involvement and the extra bit of initiative adds to our job satisfaction, we will convince medical students of the beauty of our profession.

Send us your most illuminated images and detective stories using the template below to cbdt@myESR.org by Sunday, December 10th, 2023.

*Please note that the chosen submitted cases will be presented by the interlude speaker and not by the submitters. The selected cases will take part in a lucky draw after the interlude! The award will be disclosed at a later date. 

Become A Member Today!

You will have access to a wide range of benefits that can help you advance your career and stay up-to-date with the latest developments in the field of radiology. These benefits include access to educational resources, networking opportunities with other professionals in the field, opportunities to participate in research projects and clinical trials, and access to the latest technologies and techniques. 

Check out our different membership options.

If you don’t find a fitting membership send us an email here.

Membership

For radiologists, radiology residents, full allied science members & professionals of allied science members in training

  • Reduced registration fees for ECR 1
  • Reduced fees for the European School of Radiology (ESOR) 2
  • Exclusive option to participate in the European Diploma. 3
  • Free electronic access to the journal European Radiology 4
  • Content e-mails for all ESR journals
  • Updates on offers & events through our newsletters

€ 11 /year

Yes! That is less than €1 per month.

Free membership

For eligible professionals of allied sciences engaged in practice, teaching
or research residing outside Europe as well as associate members & retired members

  • Reduced registration fees for ECR 1
  • Free electronic access to the journal European Radiology
  • Content e-mails for all 3 ESR journals 4
  • Updates on offers & events through our newsletters

€ 0

The best things in life are free.

ESR Friends

For students, company representatives or hospital managers etc.

  • Content e-mails for all 3 ESR journals 4
  • Updates on offers & events through our newsletters

€ 0

Friendship doesn’t cost a thing.

The membership type best fitting for you will be selected automatically during the application process.

Footnotes:

01
Provided that ECR 2023 membership is activated and approved by August 31, 2023.
02
Not all activities included
03
Examination based on the ESR European Training Curriculum (radiologists or radiology residents).
04
European Radiology, Insights into Imaging, European Radiology Experimental.